Sa dell’assurdo questa storia, eppure è realmente accaduta ad un’anziana donna di 82 anni.
Dolori addominali, forte dissenteria ed altri lievi ma costanti disturbi hanno portato un’anziana signora dal medico, per cercare una cura definitiva ai suoi continui malesseri. Il medico consiglia alla donna di sottoporsi a dei controlli più specifici e mirati per cercare di capire meglio la fonte di tanti disturbi, tutti apparentemente scollegati tra di loro.
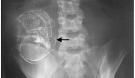
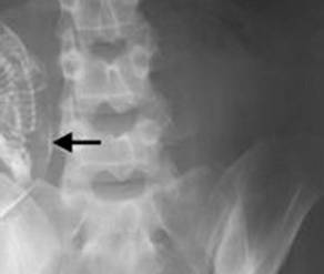
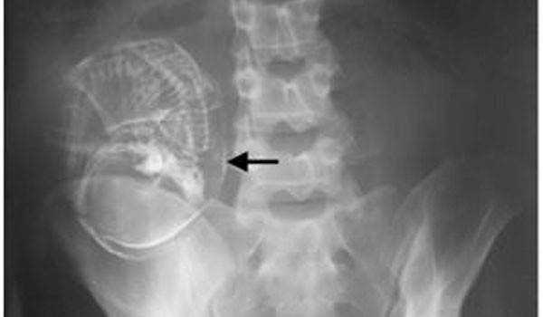
Immaginatevi la sorpresa una volta ritirato il referto delle lastre, quando il medico dice alla donna ‘complimenti, lei è incinta’. In realtà il feto, ormai calcificato nel corpo della donna, era li da ben 40 anni. Una gravidanza di cui evidentemente la donna a suo tempo non era a conoscenza, la morte inaspettata del feto e l’impossibilità del suo fisico dell’espulsione di quest’ultimo a causa della sua grandezza erano le cause dei continui disturbi dell’ignara signora. Un’operazione ha finalmente permesso di dare alla ‘luce’ questo feto di ben 40anni di età. Da non credere!





